Aesthetics Dentistry

Cosmetic Dentistry by Smile Signature Dental Bangkok

AESTHETIC DENTISTRY & COSMETIC DENTISTRY

Aesthetic Dentistry

Aesthetic Dentistry, also know as Cosmetic Dentistry, involves various dental treatments to give you that beautiful natural smile.

Aesthetic Dentistry is done by cosmetic dentists and include:

Cosmetic Dentistry or Aesthetic Dentistry Treatments

Zoom Tooth Whitening

Tooth Whitening

Lorem ipsum dolor sit amet, consectetuer adipiscing elit, sed diam nonummy nibh euismod tincidunt ut laoreet dolore magna aliquam erat volutpat.

Veneers

Porcelain Veneers

also called indirect veneers are thin wafers of porcelain pieces placed over the front teeth to change color, shape, size of the teeth. Veneers are good options in resolving irregularities on front teeth, close gaps and can straighten mildly crooked teeth. Porcelain veneers provides good esthetics smiliar to natural teeth. Lumineers are a type of veneers whereby for certain cases, minimal or no tooth preparation is required.

Dental Crowns

Dental Crowns

often called dental caps, are used to cover and encase damaged or severely chipped teeth. Dental crowns are used to rebuild broken, decayed teeth back to their original shape and are also used to strengthen root canal treated teeth.

Bridges

Dental Bridges

consists of at least 3 units of dental crowns and are used to replace missing gaps between healthly adjacent supporting teeth.

Inlay and onlys

are similiar to dental fillings used to fill-in cavities or damaged teeth. But unlike fillings, inlays and onlays are made from porcelain or gold providing good strength for larger cavities. Porcelain inlays and onlays mimic the teeth’s translucency and color, making them attractive choices for patients.

Composite resin fillings

are tooth-colored fillings. Many individuals now replace exisiting amalgam fillings with composite resin fillings for better esthetics. Bangkok Dental Group (BDG) is an amalgam-free clinic. Additional IAOMT technique of safely removing amalgam fillings may be opted at our clinics.

Dental Bonding also called direct veneers. Unlike porcelain veneers whereby wafer procelain pieces are made in the labs, dental bonding is a procedure of applying tooth-colored resin material and hardened with a special light on the surface of front teeth in improving one’s smile.

At Smile Signature thailand dental clinics, aesthetic dentistry is done by our team of cosmetic dentists that specializes in their specific field of expertises.

Aesthetic Dentistry Cases

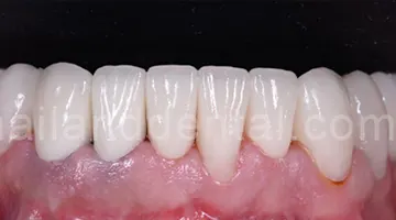
Dental Crown

Dental Crown or Bridge Cases

Dental Crown

Dental Crown or Bridge Cases

veneers

Dental Veneers

Veneers

Dental Veneers

SMILE SIGNATURE

DENTAL SERVICE

BRANCE

- Siam Square +(66) 2 658 4500

- Ratchada +(66) 2 693 6933

- Srinagarindra +(66) 2 721 9100

- Ratchayothin +(66) 2 939 5033

- Ramintra +(66) 2 943 5858

- Phahonyothin +(66) 2 930 1812

- Rangsit +(66) 2 958 5600

- Central WestGate +(66) 2 693 6933

- Patong, Phuket +(66) 76 619 380