Smile Signature dental clinics, part of Dental Corporation, is Thailand’s largest dental clinic network with over 100 dentists in Bangkok & Phuket. An ISO certified dental clinic. Provides dental implants, veneers, crowns & dental services at affordable dental treatment fees.
Smile Signature Dental Clinics
Since the opening of its first dental practice in 2001, our team of thailand dentists and dental specialists has treated patients for over 14 years. Our Thailand dental group currently has 8 locations. With the common aim of providing professional dental treatments and individualized patient care, each of our dental clinics in Thailand has been set up in a friendly, modern and clean setting for the comfort and well-being of our patients.
All Smile Signature Thailand dentists are certified each specializing in their own area of dental expertise. Our Thailand dentists undergo continual external and internal training in a continuous effort to provide our patientes with the latest, most effective dental techniques and oral treatment services.
Let’s Smile Signature Care Program
FREE Dental Checkup
Oral checks made by your certified dentists help prevent and detect tooth issues. Smile Signature offers a Smile Signature Care Program on having a FREE Checkup and Consult. Email us for an online consult on a FREE draft quotation.
Airflow Polishing & Teeth Cleaning
Professional teeth cleaning keeps good oral health. Advance airflow teeth polishing uses watersprays without the conventional vibration feeling. Smile Signature’s Care Program offers a comprehensive routine airflow teeth polishing at 2,000 baht.
Dental Implants Program
Dental Implant Package & Certified Dentists
Smile Signature’s team of qualified implantologists has placed thousands of dental implants ranging for single to full jaw replacement improving the quality of life. Many of our implantologist & prosthodontist have over 10 years of experience in the implantology field and are graduates from USA,UK and Germany. Get a FREE draft quote and consult.
ProArch (All-on-4) and Dental Implant Overdentures
Advancement in dental implant techniques and technologies now enables poor prognoses teeth to be easily restored with immediate function. Dental implants overdentures are affordable options and improves confidence level of individulas who have put off restoring damaged teeth over long periods of time. Ask about our full mouth implant packages.
Let’s Smile Makeover Signature Program
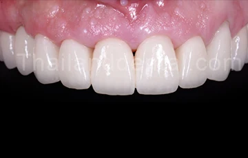
Natural-looking All Ceramic IPS Veneers
Porcelain veneers re-shapes, re-sizes, covers irregularities and whitens color shade. IPS Empress porcelain veneers one of world’s most popular & natural-looking dental veneers for cosmetic dentistry, transforming misaligned and unsightly teeth in days. View our case galleries on smile makeover for our international patients and local celebrities.
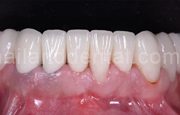
Restorative Dental Crowns & Bridges
Dental crowns restore chipped, damaged or root canal treated teeth. Dental bridges, composed of multipe dental crowns, replace missing gaps. Smile Signature dental clinics has its dedicated dental laboratory for its dental clinics in Thailand. This assure our patients faster dental crowns and dental bridges treatment timings as well as having a more natural looking smile.
Thailand Dental Services
Smile Signature dental clinics provide dental services including dental veneers, dental crowns, dental bridges, dental implants,white fillings replacements, teeth whitening, general dentistry and braces dental treatments.
Thailand Dental Clinics
Smile Signature dental clinics are part of a dental chain in Bangkok providing clean and affordable dental services following uniform sterilization protocols and consistent process guidelines. Smile Signature dental clinics has a team of highly skilled dentists, amongst which are American board orthodontist and Americn board prosthodontist.
Smile Signature in Bangkok
Smile Signature at Siam Square is located in Bangkok’s city center shopping area at Siam Square (Sukhumvit). Directly opposite MBK and within walking distance from Siam Discovery and Siam Paragon Malls, our city office is easily accessible by BTS.
ADVANCE DENTAL TECHNOLOGIES
Cercon Zirconia Crowns
All Ceramic Cercon crowns are an advanced dental crowns using strong medical-quality ceramics that provides natural luminescent qualities allowing light and color to pass through. Cercon crowns are zirconia based ceramics that do not contain any metal alloys and are all ceramic dental crowns.
IPS e.Max Crowns and Veneers
The latest e.Max ceramics has added properties retaining the natural aesthetics of the original IPS Empress system but with added strength. The all ceramic IPS Empress restoration may be done for crowns and veneers for a natural looking smile.
One Day Dental Implants
Immediate function dental implants may now be done with advances in dental implants technologies, materials and techniques whereby a new tooth implant is placed immediately after teeth extraction. Apply to cases without contra-indications and good bone conditions.
Full Mouth Dental Implants
ProArch All-on-4 , All-on-6 and zygoma dental implant concepts are solutions developed to maximize use of available bone allowing for immediate function for full arch reconstruction cases. A new set of teeth are thus obtained in one trip in Thailand.
Roxolid SLActive Implants – The New Implant DNA Material
Smile Signature offers the new Roxolid SLActive Implants. The new Roxolid material combined with SLActive enables high strength with excellent osseointegration with small diameter implants and better aesthetics.
SLActive One Day Implant & Bone Level Implants
The latest breakthrough on osseoconductive surface SLActive dental implant system now allows shortened implant treatment timings. Bone level implants enables improved aesthetics at the soft tissue area.
Promax Digital Panoramic and Cephalometric X-rays Machine
The Plamaneca Promax X-rays system enables radiological examinations for over the whole maxillo-facial structure at low dose radiation levels compared to conventional film typed x-rays.
Super-thin Veneers
As ultra-thin, safe and painless porcelain dental veneers, super-thin veneers is a quick and easy process transforming your smile to your desired white color shades permanently. Done in 2 to 3 visits, super-thin veneers may be placed on without shots and with minimal or no tooth preparation.
STb Light Lingual Braces
STb Lingual braces are attached to the inside or lingual side of the teeth to allow tooth movements to be carried out while making them completely non-visible. The new STb Light lingual braces uses smaller lingual brackets for increased comfort. Lingual braces is non-visible making it a suitable orthodontic treatment option for adults. Smile Signature has orthodontic specialists certified on the advance and specific lingual technique expertise.
Dental Sterilization
High standards of sterilization and cleaniness are maintained at our dental clinic.
Our thailand dental clinics follows international sterilization standards and uses chemical test indicators to check our sterilization efforts.
All our instruments are autoclaved, individually vaccumed packed and dated for your safety.
Standardized Dental Fees
Smile Signature dental clinics has a standard price policy for its dental treatments. There are no hidden sterilization, taxes or facilities surcharges.
Our dental clinics does not discriminate pricings between our local and foreign patients. You have peace of mind that the cost charged is simply for the treatment received.
Dental Technologies
Our thailand dental clinics are equipped with modern dental uits and technological equipments. Smile Signature has a dedicated chain based dental laboratories for their all ceramic crowns, bridge and veneers.
Advance dental technologies and techniques at Smile Signature include digital panoramic x-rays, laser systems, titanium dental implants, all porcelain dental bridges and dental crowns.
VIDEO TESTIMONIALS
NEW UPDATE
Bangkok International Dental Hospital (BIDH) 2019
BIDH Dental Hospital was established with the emphasis as a dental center of excellence using evident base sterilization standards, advanced digital….
Dental Corporation recieved Asia Pacific Global Health Awards 2019
We are delighted to have distinguished JCI pioneers Dr Paul Ostenberg DDS, MS and Ms Karen Timmons of Global Healthcare Accreditation…
The final round of Miss Grand Thailand 2017
The gallery of Miss Grand Thailand 2017 in the Final Show round on July 8 at Hall 100 BITEC Bang Na. Finally, the official winner is contestant fromKrabi….
OUR SMILE SIGNATURE DENTAL CLINICS NETWORK
At Siam Square
Level 2, Siamscape building Room SS209
(BTS National Stadium Station)
Tel : +(66) 2 002 5677
Mobile : +(66) 83 095 0219
At Ratchayothin
(BTS Ratchayothin Station)
Tel : +(66) 2 939 5033
Mobile : +(66) 80 880 1700
At Phahoyothin
(BTS Phahonyothin 24)
Tel : +(66) 2 930 1812
Mobile : +(66) 83 095 0217
At Central Westgate
(MRTA Talad Bang Yai)
Tel : +(66) 2 194 2733, +(66) 2 194 2734
Mobile : +(66) 91 889 3818
Phuket Dental Signature at Patong, Phuket
(An affliate clinic)
Tel : +(66) 76 341 700
Mobile : + (66) 91 889 6199
At Sukhumvit (OPENS August 2026)
2nd floor, Dhammalert Building
(BTS Asoke or BTS Nana Station)
Mobile : +(66) 91 002 2288
SMILE SIGNATURE
DENTAL SERVICE
BRANCE
- Siam Square +(66) 2 658 4500
- Ratchada +(66) 2 693 6933
- Srinagarindra +(66) 2 721 9100
- Ratchayothin +(66) 2 939 5033
- Ramintra +(66) 2 943 5858
- Phahonyothin +(66) 2 930 1812
- Rangsit +(66) 2 958 5600
- Central WestGate +(66) 2 693 6933
- Patong, Phuket +(66) 76 619 380
